- All Posts
- Bacteria
- Cancer
- Health and medical laboratory
- Healthcare Waste Management / Medical Waste Management
- Hematology / Coagulation Biology
- Infectious Diseases
- Laboratory & Diagnostic Tests
- laboratory equipment
- Laboratory Safety / Biosafety
- Man Health
- Medical / Health
- MEN HEALTH
- Microbiology / Pathogens
- Virus
- Women’s Health

Introduction: Zoonotic diseases are one of the most dangerous and underestimated threats to human health in the world today. Every...

Introduction: Ebola virus transmission is one of the most feared topics in modern medicine – and for good reason. Since...

Introduction: X rays cancer risk is a question many people have but rarely ask their doctor. You sit in the...

Introduction: Hospital acquired infections remain one of the most pressing concerns in modern healthcare. These infections, also known as healthcare-associated...

🧪 eGFR Calculator CKD‑EPI 2021 · age/sex adjusted · keyboard ready 🧬 Serum creatinine (mg/dL) 🎂 Age (years) ⚥ Sex...

Introduction Treatments and cures for leukemia have evolved dramatically over the past decade, bringing renewed hope to patients and families...

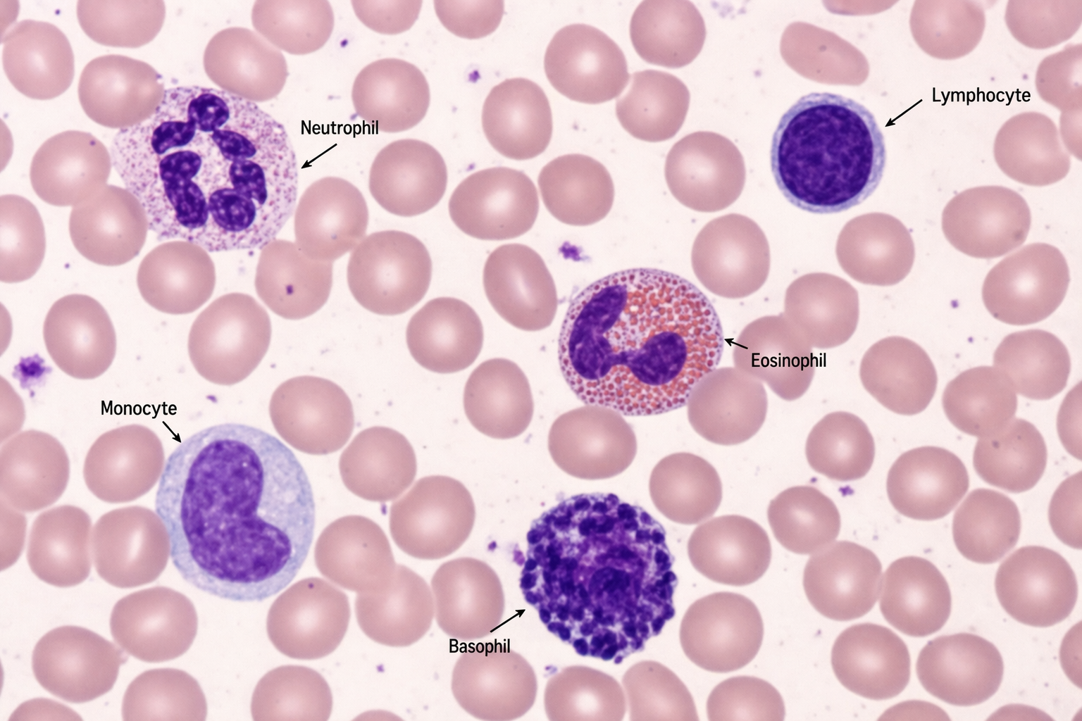
Understanding Leukocytes and Their Critical Role Leukocytes, commonly known as white blood cells, are your body’s frontline defenders against infections,...

Understanding the Critical Pathways of Monkeypox Transmission The mode of transmission of monkey pox has become a crucial topic for...

Introduction Urine infection symptoms can be uncomfortable and distressing, affecting millions of people worldwide each year. A urinary tract infection...
